Estudio cerebral detecta vulnerabilidad a las adicciones
Washington | Efe
Un estudio realizado con hermanos, unos adictos a las drogas y otros no, ha detectado que ciertas personas tienen unas características cerebrales que les hace más vulnerables a las dependencias.
El informe, publicado en el número del 3 de febrero de Science, señala que los adictos a las drogas y sus hermanos libres de dependencias son relativamente débiles al controlar sus impulsos y comparten ciertas características cerebrales que no se encuentran en otros individuos sanos.
Estas anormalidades cerebrales podrían ser marcadores de una vulnerabilidad heredada a la drogadicción, aunque los expertos subrayan que puede ser vencida.
Investigaciones anteriores habían notado diferencias cerebrales en drogadictos, pero no estaban seguros de si eran anteriores al consumo de drogas o si se habían producido como resultado de su uso.
La doctora Karen Ersche de la Universidad de Cambridge y su equipo estudiaron parejas de hermanos biológicos, uno adicto y otro sin historial de abuso crónico de drogas o alcohol, y compararon los cerebros de ambos con el de un grupo de personas que participó en la investigación.
En primer lugar, los investigadores pusieron a prueba la capacidad de los sujetos para controlar sus impulsos, una habilidad que se sabe queda afectada cuando el individuo padece una drogadicción.
Los investigadores midieron la velocidad a la que una persona puede cambiar de una serie de instrucciones a otra.
Las parejas de hermanos -adictos y sanos- hicieron la prueba relativamente mal en comparación con el otro grupo de personas que participaron en el experimento, según observaron.
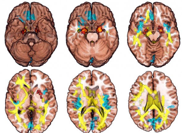
El equipo investigador analizó posteriormente una variedad de imágenes cerebrales en busca de diferencias estructurales entre ambos grupos.
Al analizar las imágenes, identificaron varias diferencias en los sistemas fronto-estratiales del cerebro, que compartían las parejas de hermanos pero no se daban en el resto de participantes.
Estas anormalidades incluyeron un descenso en la densidad de los tractos fibrosos de la sustancia blanca adyacente a la corteza frontal inferior derecha, un incremento en el volumen de materia gris en el putamen y la amígdala, y un descenso en el volumen de materia gris en la ínsula posterior.

















